분류
사회이슈
머리 아파 병원 갔더니 뇌 속에 기생충이 가득
작성자 정보
- 작성자 TOYVER
- 작성일
컨텐츠 정보
- 조회 22,529
본문
머리 아파 병원 갔더니 뇌 속에 기생충이 가득
수년간 두통을 호소해 온 한 호주 여성의 뇌에서 커다란 기생충들이 자라는 희귀질환이 발견돼 충격을 주고 있다.
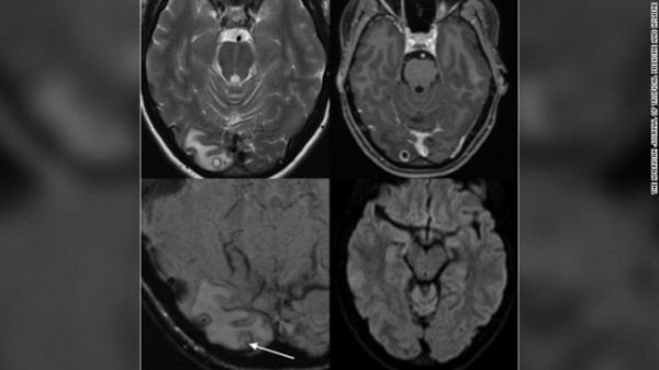
4일(현지시간) CNN방송 등에 따르면 두통이 일주일 넘게 지속되고, 눈앞이 흐려지는 등 시력 이상 증세를 호소한 호주 여성 A(25)씨가 최근 병원 검사 결과 뇌에서 기생충이 자라는 '신경낭미충증' 판정을 받았다.
A씨는 지난 7년간 한 달에 2∼3번꼴로 두통을 앓았다가 최근 머리가 심하게 아파 진통제를 먹었지만 아무런 효과를 보지 못해 병원을 찾았다.
뇌 자기공명영상(MRI)을 찍어본 연구진은 A씨의 뇌에서 종양이 아닌 물혹을 발견했다. 인간의 세포 조직으로 형성된 물혹이 아니라는 판단을 내린 연구진이 정밀 검사를 시행한 결과, 기생충들이 그 안에서 자라고 있었다는 사실을 확인했다.
A씨는 물혹 제거 수술을 받은 뒤 상태가 호전됐다.
세계보건기구(WHO)와 미 질병통제예방센터(CDC) 등에 따르면 신경낭미충증은 덜 익은 돼지고기 또는 기생충이 있는 인간의 배설물과 닿은 계란을 섭취한 사람에게서 나타날 수 있다.
이 같은 감염원을 통해 인간 체내에 침투한 기생충은 뇌뿐만 아니라 근육 조직, 피부, 안구 등에서도 자랄 수 있으며, 성인 뇌전증을 유발하고 심한 경우 사망에 이르게 할 수도 있다.
연구진은 A씨의 감염원을 확실히 단정할 수 없다면서도, 일단 운송 과정에서 기생충에 노출된 계란을 먹었다가 감염됐을 가능성을 가장 유력하게 보고 있다.
이 질병은 발원지인 아프리카나 남미, 아시아 등을 다녀온 사람에게서 종종 나타났으나, A씨는 한 번도 해외여행을 한 적 없는 것으로 확인돼 호주 본토에서 신경낭미충증이 자연 발생한 최초 사례로 기록될 전망이다.
이전에도 10년째 두통에 시달리고 있다고 호소한 미국 텍사스 한 남성의 뇌에서 유사한 기생충이 발견된 바 있다.
연구진은 "신경낭미충증이 자연적으로 발생하지 않는 지역에서도 경계를 강화해야 할 필요가 있다"며 "음식물은 반드시 익혀 먹고 손 씻기를 철저히 해야 한다"고 주의를 당부했다.
4일(현지시간) CNN방송 등에 따르면 두통이 일주일 넘게 지속되고, 눈앞이 흐려지는 등 시력 이상 증세를 호소한 호주 여성 A(25)씨가 최근 병원 검사 결과 뇌에서 기생충이 자라는 '신경낭미충증' 판정을 받았다.
A씨는 지난 7년간 한 달에 2∼3번꼴로 두통을 앓았다가 최근 머리가 심하게 아파 진통제를 먹었지만 아무런 효과를 보지 못해 병원을 찾았다.
뇌 자기공명영상(MRI)을 찍어본 연구진은 A씨의 뇌에서 종양이 아닌 물혹을 발견했다. 인간의 세포 조직으로 형성된 물혹이 아니라는 판단을 내린 연구진이 정밀 검사를 시행한 결과, 기생충들이 그 안에서 자라고 있었다는 사실을 확인했다.
A씨는 물혹 제거 수술을 받은 뒤 상태가 호전됐다.
세계보건기구(WHO)와 미 질병통제예방센터(CDC) 등에 따르면 신경낭미충증은 덜 익은 돼지고기 또는 기생충이 있는 인간의 배설물과 닿은 계란을 섭취한 사람에게서 나타날 수 있다.
이 같은 감염원을 통해 인간 체내에 침투한 기생충은 뇌뿐만 아니라 근육 조직, 피부, 안구 등에서도 자랄 수 있으며, 성인 뇌전증을 유발하고 심한 경우 사망에 이르게 할 수도 있다.
연구진은 A씨의 감염원을 확실히 단정할 수 없다면서도, 일단 운송 과정에서 기생충에 노출된 계란을 먹었다가 감염됐을 가능성을 가장 유력하게 보고 있다.
이 질병은 발원지인 아프리카나 남미, 아시아 등을 다녀온 사람에게서 종종 나타났으나, A씨는 한 번도 해외여행을 한 적 없는 것으로 확인돼 호주 본토에서 신경낭미충증이 자연 발생한 최초 사례로 기록될 전망이다.
이전에도 10년째 두통에 시달리고 있다고 호소한 미국 텍사스 한 남성의 뇌에서 유사한 기생충이 발견된 바 있다.
연구진은 "신경낭미충증이 자연적으로 발생하지 않는 지역에서도 경계를 강화해야 할 필요가 있다"며 "음식물은 반드시 익혀 먹고 손 씻기를 철저히 해야 한다"고 주의를 당부했다.
[국내 최다 먹튀검증 No.1] - 토이버
관련자료
댓글 0개
등록된 댓글이 없습니다.





